Обследование при вывихе бедра
Осмотр травматолога. Врач осматривает и ощупывает поврежденный тазобедренный сустав
Обычно вывих выявить легко, но его важно отличить от других видов травм, описанных выше. Рентгенография
Проводится в обязательном порядке всем пациентам. Снимки делают в двух проекциях – спереди и сбоку. Это дает возможность лучше определить положение головки бедра, выявить повреждение окружающих тканей. Компьютерная томография и магнитно-резонансная томография. Эти исследования проводятся в тех случаях, когда после рентгенографического исследования у врача все еще остаются сомнения в диагнозе.
Диагностика и лечение
Чтобы диагностировать ушиб тазобедренного сустава, требуется проведение следующих мероприятий:
- рентгенография;
- МРТ для выявления микропереломов и мышечных повреждений;
- сцинтиграфия для определения патологических процессов, распространяющихся на костные структуры.
После того, как диагноз уточняется, начинают процесс лечения.
Встретят тебя в уютной квартирке, реальные шлюхи Владимира, есть подружки для горячего лесби. Еще множество услуг готовы оказывать развязные и очаровательные проститутки. Стильные реальные шлюхи Владимира, восхитительные и горячие, они такие заботливые и нежные, что сегодня у тебя будет лучший интимный досуг. Выбери девушку сейчас.
Существует несколько методов лечения ушиба. Консервативная терапия заключается в следующем:
- обеспечение покоя пациента;
- применение сильных обезболивающих препаратов, которые помогают подавить боль в тазобедренном суставе (Пенталгин);
- прием противовоспалительных препаратов (Нурофен);
- наложение шины на поврежденную область.
При симптомах сильного ушиба назначают лечение хирургическими методами. В таких случаях делают следующее:
- при отслоении мягких тканей проводят пункцию для устранения лишней жидкости из мышечной ткани, после чего накладывают повязку;
- в случае крупных отслоений, фрагменты извлекают через разрез, опустошенную полость дренируют, зашивают место доступа и накладывают повязку;
- в целях снижения внутримышечного давления рассекают фасции.
Также при ушибе тазобедренного сустава лечение предусматривает выполнение упражнений для разработки поврежденной структуры (круговые движения бедром из положения лежа на боку или стоя, упражнения «Ножницы» и «Велосипед»).
Как правильно лечить ребенка
Чем раньше начнется лечение, тем быстрее удастся добиться правильного формирования тазобедренного сустава. Для этого применяются различные методы и средства, помогающие зафиксировать ноги ребенка в положении сгибания и отведения. Это специальное широкое пеленание, стремена, шины и другие приспособления. Чем младше ребенок, тем более мягкими и эластичными должны быть удерживающие ножки ортопедические изделия.
«Врачи скрывают правду!»
Даже «запущенные» проблемы с суставами можно вылечить дома! Просто не забывайте раз в день мазать этим…
Широкое пеленание
Это, скорее, профилактическое мероприятие, а не лечебное. Широкое пеленание рекомендовано родителям детей, которые входят в группу риска или у них обнаружено недоразвитие ТБС, пока не ставшее причиной предвывихов, подвывихов и вывихов. Для терапии дисплазии оно проводится только при невозможности использования других, более эффективных методов лечения.
Чтобы выполнить широкое пеленание, ребенок укладывается на спину, а между ног располагаются две пеленки. Они неплотно обвертываются вокруг каждой ножки, согнутой в положении отведения. Пеленки фиксируются третьей, закрепляющейся на поясе. Такой способ пеленания помогает удерживать ноги в состоянии разведения на 60-80°.
Ортопедические конструкции
В терапии дисплазии ТБС у самых маленьких детей чаще используется подушка Фрейка. Внешне она выглядит, как плотный валик, располагающийся между коленями. А для закрепления ног в физиологичном положении для «дозревания» тазобедренного сустава в конструкции предусмотрены фиксирующие ремешки.
Еще одно часто применяемое приспособление — стремена Павлика. Так называется ортопедическое изделие, напоминающее грудной бандаж. Для надежного крепления ножек он оснащен ремешками, располагающимися на плечах ребенка и позади коленок, фиксаторами голеностопов, штрипками. Реже используется шина Виленского — две кожаные манжеты с металлической телескопической распоркой между ними.
Лечение массажем
Общеукрепляющий массаж — важная составляющая терапии. Детский ортопед выписывает направление для проведения сеансов. Массаж выполняется спустя примерно час после последнего кормления, в спокойной расслабляющей обстановке. Он начинается с поглаживаний, легких разминаний и растираний. Затем массажист приступает к более интенсивным, энергичным движениям. Это необходимо для укрепления мышц бедер и ног, улучшения кровообращения. На завершающем этапе вновь выполняются поглаживания.
Лечебная физкультура
Ежедневные занятия лечебной физкультурой обязательно показаны при дисплазии. Комплекс упражнений составляет детский ортопед с учетом степени тяжести заболевания, возраста ребенка, общего состояния его здоровья. Он показывает родителям, как правильно выполнять движения, что избежать чрезмерных нагрузок на тазобедренный сустав. Какие упражнения наиболее эффективны:
- ножки отводятся в стороны, а затем ими выполняются круговые движения с небольшой амплитудой;
- в положении лежа на животе ножки плавно отводятся в стороны, а затем сводятся вместе;
- лежа на спине, ножки поднимаются, а ступни ребенка сводятся вместе.
Физиотерапия
Для ускорения «дозревания» тазобедренного сустава в анатомическом положении используются физиопроцедуры. Назначается электрофорез с растворами кальция, фосфора, йода — элементами, необходимыми для правильного формирования костных и хрящевых структур. Всего проводится около 10 сеансов, но при необходимости курс лечения продлевается.
Практикуется также УФО-облучение суставов по схеме, определяемой индивидуально. Благодаря проникновению ультрафиолетовых лучей в кожу на глубину 1 мм укрепляется местный иммунитет, ускоряются метаболические и восстановительные процессы.
Хирургическое вмешательство
Показаниями к хирургическому вмешательству становится тяжелая степень дисплазии ТБС, выявленная в возрасте 24 месяцев, наличие анатомических дефектов, при которых невозможно вправить вывих. Операции проводятся при ущемлении суставной капсулы, недоразвитии костей таза, бедра. Если нельзя вправить головку бедренной кости закрытым способом, то также прибегают к хирургическому вмешательству. Какие операции проводятся при дисплазии:
- открытое вправление вывиха — вправление головки бедренной кости в вертлужную впадину после рассечения суставной капсулы с последующим гипсованием на 3 недели;
- операция на кости бедра — придание проксимальному концу бедренной кости правильной конфигурации с помощью остеотомии;
- операция на тазовых костях — создание упора для головки бедренной кости, препятствующего ее выскальзыванию из суставной впадины.
Хирургическое лечение
Хирургические подходы
- Передний доступ (Smith-Petersen).
- Передненаружный доступ (Watson-Jones).
- Прямой боковой доступ (Hardinge/Transgluteal).
- Латеральный транстрохантерный доступ.
- Латеральный доступ.
- Заднебоковой доступ.
- Задний доступ (Moore/Southern).
- Минимально инвазивные доступы (например, прямой передний доступ).
Описано большое число хирургических доступов при замене ТБС, однако мы остановимся на переднем, латеральном и заднем доступах
Эти варианты позволяют определить объём повреждения мягких тканей и основные меры предосторожности, необходимые при выполнении тотального эндопротезирования ТБС. Задний доступ наиболее популярен при проведении артропластики ТБС
Этот метод предоставляет хороший обзор бедренной кости и вертлужной впадины, а также позволяет избежать повреждений отводящих бедро мышечных групп. Передний доступ менее инвазивен и наносит меньше урона мышцам, капсулам, связкам и нервам. Исследования демонстрируют также более быструю реабилитацию и более полное восстановление функциональности. Ввиду меньшего риска вывиха в сравнении с задним доступом раннюю мобилизацию и упражнения с переносом веса на стопу надлежащей нагрузки можно проводить уже в первые дни после операции. Использование минимально инвазивной хирургии набирает популярность по всему миру ввиду высокой скорости восстановления организма и значительно меньших осложнений. Тем не менее, долгосрочные последовательные и сравнительные исследования всё ещё необходимы в этой области.
Протезы тазобедренного сустава

Протез тазобедренного сустава
Суставные протезы, используемые хирургами, выполнены в концептах «металл на полиэтилене (ПЭ)», «керамика на ПЭ», «металл на металле» и «керамика на керамике». Важными характеристиками протезов выступают коэффициент трения, долговечность, устойчивость к вывихам и степень фиксации в костной ткани. В некоторых случаях возможно развитие остеонекроза ввиду эрозии компонентов протеза, вызванной их трением друг о друга. Последние исследования демонстрируют, что ПЭ, содержащий витамин Е, изнашивается на 95 % меньше, чем прочие материалы, применяемые для изготовления искусственной чашки вертлужной впадины.
Осложнения
От 2 до 10 процентов пациентов обнаруживают развитие осложнений в ходе и после проведения полной замены ТБС. Следующие случаи наиболее часто описываются в литературе и наблюдаются в клинической практике:
- Вывих: Передний доступ снижает риск вывиха в сравнении с прямым задним доступом.
- Недостаточность отводящих мышц: Чаще всего после прямого латерального доступа.
- Интраоперационные переломы.
- Повреждения нервов (зависят от доступа).
- Прямой латеральный доступ – верхний ягодичный и бедренный нервы.
- Прямой передний доступ – кожный нерв бедра.
- Задний доступ – седалищный нерв.
- Раневая инфекция и/или сепсис.
- Тромбоз глубоких вен или лёгочная эмболия.
- Металлоз. Это осложнение возникает при коррозии металла и распространении его частиц. Оно приводит к большому местному высвобождению цитокинов с последующим воспалением. Систематическое воздействие металлоза может привести ко многим негативным последствиям. Единственное возможное лечение – повторное протезирование.
- Ателектаз.
- Инфекция нижних дыхательных путей.
- Относительное изменение длины ног.
- Потеря фиксации протеза и износ имплантата.
Диагностика врожденного вывиха бедра
Заподозрить наличие проблем с тазобедренным суставом врачи могут еще в роддоме при осмотре младенца после рождения. В данном случае необходимо посетить детского ортопеда в течение трех недель, чтобы пройти обследование и подобрать план лечебных действий. Для исключения заболевания все дети должны проходить осмотр у ортопеда в возрасте 1, 3, 6, 12 месяцев. Особенно это касается детей, которые находятся в зоне риска.
Такие факторы риска, как токсикоз беременности, изменение формы стопы, большая масса тела плода, тазовое предлежание, должны насторожить родителей в плане возможного риска развития дисплазии, особенно у девочек. Даже если нет ортопедической симптоматики, такие дети относятся к группе риска и родители должны регулярно их приводить на осмотр к ортопеду с профилактической целью. Чтобы поставить точный диагноз, необходимо учитывать клинические признаки, результаты УЗИ и рентгенодиагностики.
Осмотр
Обследование малыша должно проходить в спокойной обстановке и обязательно после кормления, чтобы он не плакал, не испытывал чувство голода и был максимально расслаблен
В первую очередь обращают внимание на асимметричность складок. Для врача имеют значения ягодичные, подколенные, паховые складки, и если есть патологические процессы, на стороне поражения складки будут глубже и больше
Если заболевание охватывает оба сочленения, этот признак может быть неинформативен, к тому же иногда он встречается и у здоровых детей.
Надежным признаком в выявлении заболевания является укорочение бедра, но он уже указывает не на дисплазию, а на врожденный вывих бедра. Симптом считается положительным, если у ребенка, который лежит с согнутыми в коленных, тазобедренных суставах ногами, колено на пораженной стороне находится ниже.
Золотым стандартом в диагностике можно назвать симптом Маркса Ортолани (соскальзывания, щелчка). При осмотре малыш находится в положении на спине, ортопед сгибает обе конечности в тазобедренных, коленных суставах, удерживает руками бедра. Далее их медленно отводит в обе стороны без усилия. В норме они должны почти соприкасаться с поверхностью стола. При наличии проблем в суставе в момент отведения головка бедра соскальзывает в вертлужную впадину – издается характерный щелчок.
Рентгенологическая диагностика
У новорожденных вертлужная впадина и большая часть бедренной головки представлены хрящевой тканью, поэтому на рентгенологических снимках не видны. Для трактовки результатов используют различные схемы с проведением специальных линий, чтобы рассчитать угол наклона крыши вертлужной впадины. В норме он должен быть не меньше 30° у новорожденных и примерно 20° – у малышей от трех месяцев и старше.
Ультразвуковая диагностика
УЗИ является диагностическим стандартом при выявлении дисплазии у детей первого года жизни. Исследование не несет лучевой нагрузки и не оказывает вреда детского организму – проходить его можно необходимое количество раз.
Показанием к УЗИ суставов являются наличие факторов риска по развитию дисплазии и клинические признаки заболевания.
Последствия заболевания
Если не проводить лечение в детстве, то при незначительных изменениях каких-либо болезненных симптомов в молодом возрасте нет. Но в дальнейшем, примерно в 25-30 лет, исходом дисплазии может стать диспластический коксартроз. Это дегенеративно-дистрофическое заболевание сустава, которое развивается в течение нескольких лет, сопровождается болью и со временем приводит к инвалидизации.
Ребенок с дисплазией тазобедренных суставов по мере роста испытывает все больше трудностей. Тело не выдерживает продолжительные нагрузки, детям сложно передвигаться, у них неустойчивая походка, они как будто переваливаются с одной ноги на другую. При врожденном вывихе все проблемы становятся очевидны, как только приходит пора делать первые шаги.
Симптомы Травматического вывиха головки бедренной кости:
Клиническая картина зависит от характера и степени смещения головки бедренной кости. На первый план выступают резкая боль в тазобедренном суставе, утрата функции и вынужденное положение больного. Активные движения невозможны, пассивные сопровождаются болью и пружинистым сопротивлением. При наиболее типичном для детского возраста подвздошном (задневерхнем) смещении головки бедренной кости нога слегка согнута в тазобедренном суставе и ротирована кнутри, большой вертел смещен кверху и кзади (нарушена линия Розера-Нелатона), положительный симптом Гориневской (симптом «прилипшей пятки»).
Online-консультации врачей
| Консультация диагноста (лабораторная, радиологическая, клиническая диагностика) |
| Консультация анестезиолога |
| Консультация общих вопросов |
| Консультация хирурга |
| Консультация оториноларинголога |
| Консультация андролога-уролога |
| Консультация репродуктолога (диагностика и лечение бесплодия) |
| Консультация радиолога (диагностика МРТ, КТ) |
| Консультация косметолога |
| Консультация вертебролога |
| Консультация психолога |
| Консультация дерматолога |
| Консультация гинеколога |
| Консультация проктолога |
| Консультация гастроэнтеролога |
Новости медицины
Футбольные фанаты находятся в смертельной опасности,
31.01.2020
«Умная перчатка» возвращает силу хвата жертвам травм и инсультов,
28.01.2020
Назван легкий способ укрепить здоровье,
20.01.2020
Топ-5 салонов массажа в Киеве по версии Покупон,
15.01.2020
Новости здравоохранения
Глава ВОЗ объявил пандемию COVID-19,
12.03.2020
Коронавирус атаковал уже более 100 стран, заразились почти 120 000 человек,
11.03.2020
Коронавирус атаковал 79 стран, число жертв приближается к 3200 человек,
04.03.2020
Новый коронавирус атаковал 48 стран мира, число жертв растет,
27.02.2020
Тазобедренный сустав
Тазобедренные суставы соединяют нижние конечности (бедренные кости) с тазом. Тазобедренный – самый большой и очень сильно нагруженный сустав. Он представляет собой классический шарнир: состоит из шаровидной головки бедренной кости (1), вложенной в вогнутую округлую вертлужную впадину (2) в кости таза. И головка бедренной кости, и вертлужная впадина покрыты упругим и прочным хрящом (3), В полости тазобедренного сустава находится скользкая синовиальная жидкость (4), обеспечивающая снижение трения, смягчение ударов и передачу некоторых питательных веществ. Головка бедренной кости снабжается кровью из сосудистого пучка (5), проходящего внутри тазобедренного сустава.
Строение тазобедренного сустава. (1) головка бедренной кости, (2) вертлужная впадина, (3) эластичный хрящ, (4) синовиальная жидкость, (5) сосуды внутри сустава.
Тазобедренный сустав, как правило, хорошо отзывается на лечение, за исключением случаев значительного разрушения тканей сустава
Важно не только снять воспаление и боль, но уделить внимание и кровообращению в суставе, и обеспечению его питания, и правильной работе мышц. Мы часто обнаруживаем причиной артроза нарушения обмена веществ, лечение которых возможно и нужно
Типичные проблемы с тазобедренным суставом
Артроз тазобедренного сустава (коксартроз). Это заболевание начинается с перегрузки и ухудшения питания сустава, либо с его воспаления. В результате в тазобедренном суставе уменьшается объем жидкости, хрящ становится истонченным и надрывается, отсюда боли и ограничение подвижности в суставе. Подробнее…
Дисплазия тазобедренных суставов – это врожденное недоразвитие вертлужных впадин. Мы часто видим дисплазию причиной вывихов и артроза, даже у пациентов в солидном возрасте. Крыша вертлужной впадины в этом случае лишь частично прикрывает головку бедренной кости. Таким образом, площадь опоры одной суставной поверхности на другую оказывается уменьшенной, а значит, давление на единицу площади сустава значительно возрастает. Кроме того, в таком суставе возможны избыточные движения при ходьбе, со временем разрушающие тазобедренный сустав. Подробнее…
Воспаление тазобедренного сустава (коксит, артрит) встречается при артрозе, перегрузке сустава и при таких серьезных ревматических болезнях, как болезнь Бехтерева, подагра, суставный псориаз, реактивный артрит, системная красная волчанка. Для правильного лечения необходимо точно найти причину воспаления и мы делаем это с помощью современных лабораторных исследований.Подробнее ….
Асептический некроз головки бедренной кости встречается при закупорке или сдавлении сосудистого пучка, снабжающего головку бедра кровью. В результате обескровливания головка бедренной кости погибает и разрушается, что приводит к боли и обездвиживанию
Важно немедленно установить и устранить причину закупорки сосуда, т.к. возможен риск закупорки и других важных артерий и вен (инсульт, некроз другого сустава и др.).. Подробнее…
Перелом шейки бедра часто встречается при остеопорозе – потере кальция костями. Шейка бедра – самый тонкий и наименее прочный отрезок бедренной кости. Состоявшийся перелом подлежит хирургическому лечению (фиксация металлоконструкцией) в условиях отделения травматологии. Мы окажем помощь в случае, если операция невозможна, или если после операции остаются боль и малоподвижность. Подробнее …
Грыжа межпозвонкового диска и болезненный седалищный нерв могут имитировать боли в тазобедренном суставе. Подробнее…
Лечение тазобедренного сустава
Лечение заболеваний ТБС назначают исключительно после комплексного обследования, учитывая полученные результаты. При тазобедренных патологиях показаны не только медикаментозные препараты, но и народные средства (если отсутствуют медицинские противопоказания). Во время восстановления рекомендовано посещение физиотерапевтических процедур. В экстренном случае больному может быть назначена операция.
Медикаментозные средства
Подбор лекарственных препаратов осуществляется травматологом или ортопедом с учетом диагностированного заболевания, состояния пациента и индивидуальных особенностей его организма. Главное, соблюдать прописанную дозировку, так как медикаменты способны провоцировать развитие негативных реакций.
При проблемах с тазобедренным суставом в зависимости от симптомов показано лечение медикаментами таких фармакологических групп:
- Нестероидными противовоспалительными препаратами (Налгезином, Диклаком) для ослабления болезненных проявлений и воспалительного процесса. Лекарства в форме таблеток рекомендовано принимать по 2-4 штуки в течение 2 недель.
- Хондропротекторами (Хондроксидом, Структумом) для активизации восстановительных процессов в хрящевой ткани. Максимальная доза для взрослого человека – 0,5 г перорально дважды в день. Длительность курсовой терапии – полгода.
- Ангиопротекторами (Пентоксифиллином, Стугероном) для улучшения циркуляции крови в тазобедренном отделе. Рекомендованная дозировка для взрослого – 0,2 г трижды в день после приема пищи. Продолжительность курсового лечения тазобедренного сустава – от 1 до 3 месяцев.
- Стероидными препаратами (Дипроспаном, Дексаметазоном) для внутримышечного введения. Взрослому пациенту препарат вводят однократно в течение недели в дозировке 1-2 мл.
- Анальгетиками (Лидокаином, Новокаином) для подкожного либо внутримышечного введения. Взрослому лекарство вводят в дозировке 5-20 мг.
- Миорелаксантами (Мидокалмом, Баклосаном) для снятия мышечных спазмов, снижения давления, оказываемого на сосуды кровеносной системы. Лекарства следует принимать 2-3 раза в сутки по 50-150 мг.
- Сосудорасширяющими препаратами (Тренталом, Актовегином) для расширения сосудов, активизации трофика и кровообращения в тазобедренном суставе. Рекомендованная дозировка для взрослых пациентов – до 2-3 раз в день по 100-200 мг.
Если больного беспокоят сильные боли, показано проведение внутрисуставных уколов введением лекарственных средств, способных заменить синовиальную жидкость.
Средства нетрадиционной медицины
Комплексная терапия при тазобедренных патологиях подразумевает использование народных средств. Главное, чтобы отсутствовали серьёзные медицинские противопоказания. Прежде чем прибегнуть к помощи подобных методов, надо проконсультироваться с доктором.
В сочетании с медикаментозными препаратами можно воспользоваться такими народными средствами:
- Мазью. Для приготовления надо смешать в равном объёме жидкий мёд с глицеридом, йодом и 96% спиртом. Полученный состав поставить в тёмное место настаиваться на 12 часов. Готовым средством смазываем пораженную зону и оставляем, пока средство полностью впитается. По завершении процедуры делаем 2-часовой перерыв.
- Настойкой на грецком орехе. Надо высыпать в банку стакан перегородок, налить туда же 0,5 л водки, плотно закупорить и поставить в тёмное место на 21 день. Готовое средство процеживаем и употребляем по 1 чайной ложке дважды в день.
- Травяной сбор. Для него требуется взять по 2 столовые ложки корневища таких растений – лопух, ива, петрушка, а также листочки березы и липовый цвет. Растительную смесь заливаем кипятком (0,5 л), ставим на плиту, кипятим на минимальном огне в течение 10 минут. Затем остужаем и процеживаем. Готовое средство принимаем перорально трижды в день по 125 мл.
Как распознать вывих головки эндопротеза
Вывих эндопротеза можно заподозрить в первую очередь по резкому появлению сильной боли в тазобедренном отделе и/или в области паха. Она упорно держится даже в покое, усиливается при любой попытке движения в суставе. Похожего характера симптоматика бывает и при других осложнениях: при нестабильности протеза, тендините четырехглавой мышцы, изолированном отрыве ягодичной мышцы, бурсите большого вертела и др. Поэтому подтвердить истинную этиологию возникшей боли возможно только после клинического осмотра и выполненной рентгенографии.
Выраженная болезненность – основной, но далеко не всегда единственный симптом. Объявим весь симптомокомплекс, характерный для данной проблемы:
- резкая непрекращающаяся боль, нарастающая при двигательной активности и при пальпации протезированного участка;
- страх и неуверенность в передвижении, ощущение неустойчивости;
- укорочение пораженной конечности;
- локальное мышечное напряжение;
- слабость в ноге, скованность движений;
- покраснение, припухлость, гипертермия в области локализации имплантата;
- повышение общей температуры тела, если сильно активизировался воспалительный процесс.

Больше предрасположены к вывихам женщины, чем мужчины. Этот факт специалисты обосновывают тем, у женщин исходный диапазон в ТБС выше, а объем и сила мышц ниже, нежели у представителей мужского пола. В категорию риска попадают также пациенты старческого возраста, люди с ожирением и высоким ростом.
Врожденный вывих бедра
Вывих тазобедренного сустава у новорожденных является частой патологией, ее диагностируют в 4% случаев. По степени тяжести у детей различаются:
- Дисплазия тазобедренного сустава. Это начальная стадия нарушения сустава. Анатомические поверхности сустава изменены мало, но имеются предпосылки для дальнейших нарушений.
- Предвывих бедра. Капсула сустава натянута, а головка бедра чрезмерно подвижна.
- Подвывих тазобедренного сустава. Характеризуется неполным смещением головки кости относительно вертлужной впадины, связки сильно натянуты.
- Вывих. Полное несоответствие головки сустава и суставной впадины.

Причины
Почему развивается данная патология достоверно не выяснено. Основными причинами, способствующими вывиху бедра у грудничков, являются тазовое предлежание, вес плода более 4 кг, сильный токсикоз у матери, наследственная предрасположенность, родовая травма, преждевременные роды, перенесенные матерью инфекции во время беременности.
Симптомы
У новорожденных и детей более старшего возраста, проявление признаков врожденного вывиха разное. Для грудничков характерно:
Боль в суставе бедра
- При разведении бедер слышен характерный щелчок.
- Ягодично-бедренные складки ассиметричны.
- Укорочение пораженной ноги.
- Разворот стопы кнаружи на больной конечности.
- Ограничение отведения ноги при сгибании.
- Может прощупывается смещенная головка бедра.
Если ребенок старше года, то признаки следующие:
- Хромота на больную ногу.
- Ребенок гораздо позже начинает ходить.
- При ходьбе наблюдается наклон тела в сторону здоровой конечности.
- Искривление поясничного отдела позвоночника.
Диагноз ставится детским ортопедом на основании осмотра и выявлении характерных клинических признаков. Также проводят УЗИ сустава, а детям старше 3 месяцев рентгенологическое исследование.
Лечение
Если патология выявлена сразу после рождения, то врожденный вывих тазобедренного сустава лечится консервативно. При дисплазии назначается широкое пеленание и лечебный массаж. При более серьезных степенях используют различные ортопедические конструкции для удержания сустава в правильном положении. Чаще всего применяют стремена Павлика, шину Волкова, шину Фрейка, шину Виленского.

Чем в более раннем возрасте начато лечение, тем благоприятней прогноз
Каждому ребенку индивидуально назначается курс ЛФК для ЛФК восстановления нормальной конфигурации тазобедренного сустава, укрепления мышц, улучшения кровообращения. Иногда врожденный вывих бедра приходится лечить оперативным путем. К этому прибегают в следующих случаях: невозможность вправления консервативным способом из-за выраженного смещения, возраст ребенка старше 2 лет, ущемление хряща в суставной полости, дополнительные аномалии, из-за которых невозможно закрытое вправление.
После операции ребенку предстоит длительный реабилитационный период – до 1,5 лет. В течение этого времени применяется массаж и специальные упражнения. Ребенка учат ходить правильно с помощью специальной дорожки. При отсутствии своевременного и грамотного лечения, со временем развиваются следующие нежелательные последствия:
- Формирование ложного сустава (неоартроз).
- Деформация и атрофия суставной сумки вследствие постоянного давления.
- Коксартроз. В этом случае головку тазобедренного сустава приходится заменять эндопротезом.
Таким образом, вывих тазобедренного сустава как у ребенка, так и взрослого является тяжелой патологией, требующей как можно более ранней диагностики и лечения. Однако при своевременном обращении за медицинской помощью и четком выполнении всех инструкций прогноз данного заболевания благоприятный.
Причины дисплазии тазобедренного сустава у взрослых и детей
На развитие дисплазии влияют генетические, механические и гормональные факторы. Также заболевание могут спровоцировать воздействия окружающей среды. Таким образом дисплазия бедра является мультифакториальным заболеванием.
Факторы риска врожденной дисплазии:
- нехватка места в матке
- ягодичное предлежание плода
- женский пол
- генетическая предрасположенность
- дополнительные неврологические либо мышечные заболевания, нарушения обмена веществ, хромосомные аномалии
У взрослых вывих бедра как тяжёлая форма дисплазии может быть вызван падением с большой высоты либо столкновением с движущимся впереди автомобилем. Из-за высокой энергии удара, может произойти частичный или полный вывих тазобедренного сустава.
Причины коксартроза
Существуют следующие причины развития коксартроза (артроза тазобедренного сустава):
Посттравматический коксартроз – предшествующая травма области тазобедренного сустава (ушиб тазобедренного сустава, перелом головки бедренной кости – перелом Пипкина, перелом вертлужной впадины, переломы бедренной кости) способствует развитию дегенеративно-дистрофических изменений сустава.

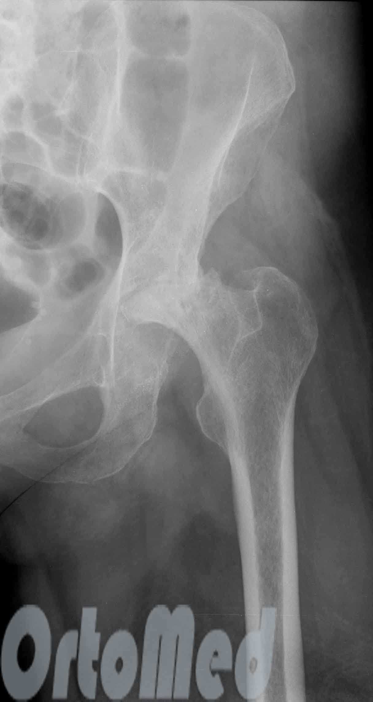
Диспластический коксартроз – недоразвитие тазобедренного сустава, как правило, начинается с рождения, с врожденного вывиха бедренной кости, а проявляется во взрослом возрасте. На долю диспластического коксартроза приходится около 20% всех артрозов тазобедренного сустава. При дисплазии крыша вертлужной впадины (то есть та часть вертлужной впадины, на которую происходит давление головки бедренной кости при опоре) недоразвита, она меньше по площади. Возникает увеличенная нагрузка на единицу площади суставной поверхности, что способствует более быстрому развитию патологического процесса.

На данной рентгенограмме представлен двусторонний диспластический коксартроз (недоразвитие крыши вертлужной впадины с 2-х сторон)
Перелом шейки бедренной кости. При переломе шейки бедренной кости происходит повреждение внутрикостных сосудов, которые играют немалую роль в питании головки бедренной кости. Нарушается питание костной ткани и хряща головки бедренной кости, что способствует развитию артроза.

Абдукционный перелом шейки бедренной кости слева
Ревматоидный артрит – это системное аутоиммунное заболевание соединительной ткани с преимущественным поражением суставов по типу полиартрита неизвестной причины.

Головка бедренной кости полностью разрушилась при ревматоидном полиартрите с поражением тазобедренного сустава
Асептический некроз головки бедренной кости (аваскулярный некроз или остеонекроз). Вследствие разных причин нарушается питание участка костной ткани и хряща головки бедренной кости, хрящ «сминается» или «отслаивается» с дальнейшим развитием патологического процесса.

Асептический некроз головки левой бедренной кости

На магнитно-резонансной томографии четко виден очаг разрушения в нагружаемой части головки левой бедренной кости
-
Болезнь Педжета и вторичный деформирующий артроз тазобедренного сустава. При болезни Педжета костная ткань должным образом не восстанавливается, что приводит к нарушению структуры костной ткани, появлению «слабых участков» кости, деформациям и искривлениям костной ткани.
-
Идиопатический коксартроз. Когда причина развития коксартроза неизвестна, приходится говорить об идиопатическом коксартрозе, который встречается в 45-50 % случаев всех дегенеративно-дистрофических заболеваний тазобедренного сустава.
Основные причины возникновения болей
Причинами возникновения болей является развитие некоторых заболеваний или травм:
- воспалительные процессы и артрит: ревматоидный, остеартрит, псориатический, септический;
- травмы: бурсит, вывихи, переломы (особенно шейки бедра), различные повреждения и ушибы, тендинит;
- проблемы с суставами, связками, сухожилиями;
- защемление нервных волокон и пучков;
- онкологические заболевания;
- дегенеративные изменения – коксартроз;
- асептический некроз головки бедра;
- синдром Легга-Кальве-Пертеса;
- остеомиелит;
- остеопороз;
- остеоартроз (остеоартрит);
- патологии и нарушения работы внутренних органов;
- воспаления, вызванные аутоиммунным заболеванием;
- синовит.
Боли могут возникать из-за заболеваний мышечной системы, которая напрямую влияет на функционирование суставов. При наличии гипертонуса или гипотонуса нагрузка на сустав прекращает распределяться равномерно. Одни мышцы напрягаются сильнее других, что провоцирует появление боли. Как правило, такая боль проходит довольно быстро после отдыха или смены положения тела.
Часто возникающая боль бывает иррадиирующей и появляется вследствие заболеваний позвоночника, грыжи, миалгии или спондилоартрите.
Боль в тазобедренном суставе может беспокоить людей, у которых избыточная масса тела, разная длина ног, плоскостопие. Болевой синдром может возникнуть после ампутации нижней конечности или протезирования тазобедренного сустава.
Иногда боли возникают во время беременности, особенно при наличии лишнего веса.






























